
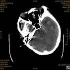
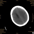
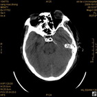
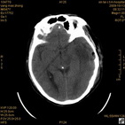
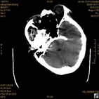
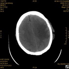
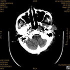
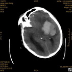
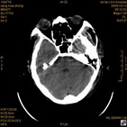
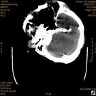
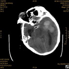
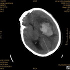
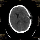
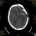
病人杨XX,男,青云街道办事处路踏泉村,住院号51666,CT号:104770。病人因“高血压脑出血”在新泰市人民医院住院治疗5天,治疗效果不佳转入我院,复查CT示左基底节血肿,病人昏迷状态,给予血肿清除术,术后2天复查CT,血肿完全清除,病人恢复好,治疗效果满意。附病人术前术后CT片资料如下。
术前CT

术前CT1 术前CT2 术前CT3 术前CT4

术前CT5 术前CT6 术前CT7 术前CT8

术前CT9 术前CT10
术后46小时复查CT

术后46小时复查1 术后46小时复查2 术后46小时复查3 术后46小时复查4

术后46小时复查5 术后46小时复查6 术后46小时复查7 术后46小时复查8
术后46小时复查9
神经外科主任徐勤伟2009年7月自新泰市人民医院调入我院,我院神经外科技术总体水平得到巨大提高。其中高血压脑出血血肿清除术后血肿完全清除率为全市最高,治疗效果最好;脑外伤抢救成功率最高、致残率最低;脑肿瘤镜下全切除率最高。
我科徐勤伟主任致力于全面提高我院神经外科水平,我们将团结奋进、群策群力,为建设全市神经外科中心、全市脑血管病治疗中心而努力奋斗,以最好的技术水平、服务态度为全市人民服务。
通讯作者 刘选平

医院地址:山东省新泰市青云路860号
版权所有:新泰市中医医院
传真:xtszyy@126.com
邮件:0538-7251239
医院微博订阅号
医院微信公众号